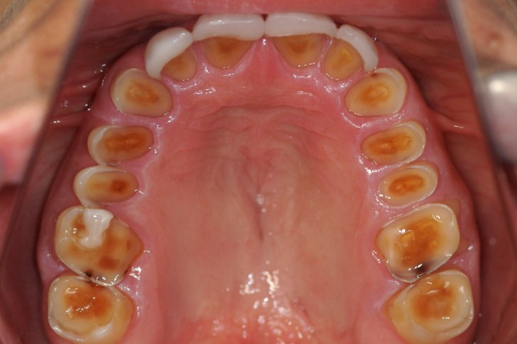
Erosão dentária é um tipo de desgaste dos dentes. É irreversível e é causada por ataques ácidos.
Este ácido pode ser de origem exterior (ex:bebidas gaseificadas) ou interior.
Ácidos de origem exteriores:
- Frutos e sumos de frutas, sobretudo citrinos;

- Refrigerantes;
- Bebidas energéticas;
- Álcool;
- Pickles;
- Vinagre;
- Medicamentos, como suplementos de ferro e vitamina C
Ácidos de origem interiores:
Os ácidos que causam erosão dentária podem derivar de fluidos estomacais. O refluxo gástrico.
Vomitar também expõe a cavidade oral ao ácido gástrico. Existem frequentes episódios através do alcoolismo ou distúrbios alimentares, como a bulimia, que podem desgastar o esmalte. A gravidez também aumenta o risco de dano.
Sintomas da Erosão dentária:
- Aparência. O efeito depende do tipo de desgaste do dente , mas podem incluir a desgaste das extremidades e uma maior transparência das pontas dos dentes da frente. As superfícies podem aparecer suaves, arredondadas e ” polidas “;
- Sensibilidade ao calor e ao frio. Isto pode ocorrer quando o esmalte protector exterior se desgasta expondo a dentina mais sensível . Nem sempre ocorre, especialmente se o desgaste está a progredir lentamente .
- Alterações em sua mordida .
- Os compósitos podem se destacar da superficie do dente.
- Recessão gengival e desgaste dos colos dentários.
- Perda de dimensão vertical.

Como prevenir:
- Reduzir a ingestão de comida e bebidas mais ácidas. Limitar a sua ingestão à hora da refeição. Isto reduz o tempo que a cavidade oral está exposta a ataques ácidos;
- O uso de uma palhinha durante a ingestão de bebidas ácidas reduz o contacto com os dentes;
- Depois de tomar uma bebida ou comida ácida, beba leite, água ou bocheche a boca com água (ou um elixir fluoretado) para neutralizar o pH ácido mais depressa;
- Mascar pastilha elástica sem a-4úcar pode ter um efeito semelhante;
- Não escove os dentes imediatamente depois de ter consumido alimentos ácidos. Espere pelo menos 30 minutos, caso contrário vai danificar ainda mais os seus dentes, (o mesmo conselho se aplica depois de vomitar);
Tratamento
O tratamento tem como objectivo:
- Reparar aparência estética , caso tenha sido afectada.
- Reduzir a sensibilidade , protegendo e cobrindo a dentina .
- Ajudar a minimizar o desgaste do dente.
Os tratamentos podem ser:
- Para ajudar a reduzir a sensibilidade com gel ou vernizes de flúor; Aconselhamento de dentífricos e elixires fluoretados;
- Reparar a perda de esmalte do dente;
- No caso de danos extensos, tratamentos como coroas ou facetas podem ser necessários;
- Substituir dentes perdidos;
- Goteira de bruxismo também pode ser necessária .