Procurar

O Higienista Oral Blog

Share opinions, experiences and so much more from the world of the Dental Hygienist's and Dentistry…

Menu
Saltar para o conteúdo
  • Início
  • A Dental Hygienist in…
    • A Dental Hygienist in South Korea by Bo Kyoung Kim – english version
  • Contact-Celso Da Costa
  • Facebook
  • Interviews
  • Oral Health for Mommys
  • Periodontal Diseases
    • Conociendo más a fondo la Enfermedad Periodontal – Paloma Camacho Losada
  • Periodontal Treatment
  • What is a Dental Hygienist

Etiqueta: problems

  • Cancer

10 Impactos do Tabaco na Cavidade Oral

  • por Celso Da Costa
  • Publicado em Outubro 5, 2016Outubro 5, 2016

Além do tabaco aumentar o risco de Cancro do Pulmão, Doenças Coronárias, entre outras, o…

Ler Mais
  • dentaria

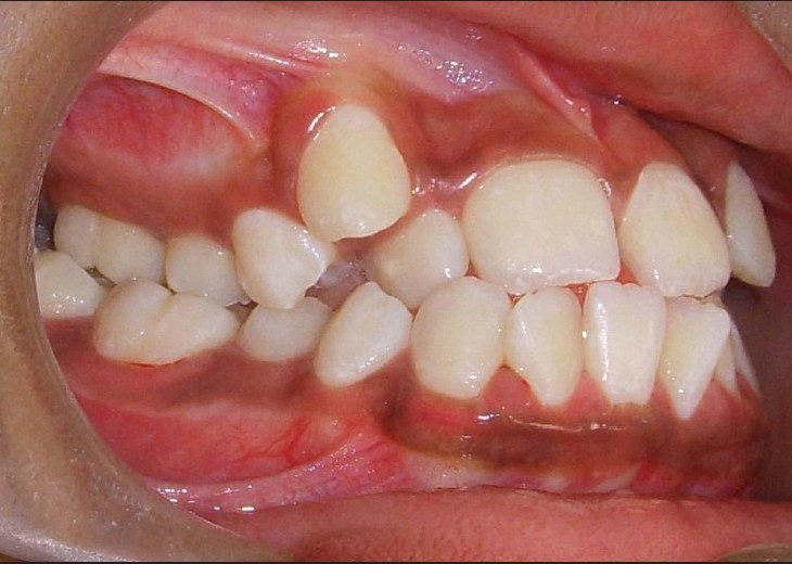
Má-Oclusão associada a má postura e problemas do equilíbrio

  • por Celso Da Costa
  • Publicado em Setembro 24, 2016Setembro 22, 2016

Nestes últimos anos, tem havido um aumento no interesse médico na correcção da oclusão para…

Ler Mais
  • dentaria

Dentes do Siso – Dores e outros sintomas

  • por Celso Da Costa
  • Publicado em Setembro 18, 2016Setembro 16, 2016

Tenho recebido bastantes e-mails com perguntas sobre os dentes do siso e por isso decidi…

Ler Mais

Indique o seu endereço de email para subscrever este site e receber notificações de novos artigos por email.

Junte-se a 1.031 outros subscritores

O Higienista Oral Blog Facebook

O Higienista Oral Blog Facebook

Instagram

No Instagram images were found.

Social

  • View OHigienistaOralBlog’s profile on Facebook
  • View CelsoCC2’s profile on Twitter
  • View celsodacosta’s profile on Instagram
  • View Celso Varandas Da Costa’s profile on Pinterest
  • View Celso Varandas Da Costa’s profile on LinkedIn
  • View Celso Da Costa’s profile on Google+

Artigos & páginas mais populares

  • Leucoplasia Oral
  • Classificação de Miller - Retracção Gengival
  • Emdogain Straumann - Regeneração Tecidual
  • Manifestações Orais da Doença de Crohn
  • 6° Congresso IORC
  • Agenésia do Corpo Caloso e Saúde Oral
  • Casal encontra dente em salsicha
  • Porquê é melhor salvar o Dente Natural?
  • Carcinoma Verrucoso
  • Ele filmou o momento em que retirou um cálculo da glândula salivar

Categorias

Arquivos

Páginas

  • A Dental Hygienist in…
    • A Dental Hygienist in South Korea by Bo Kyoung Kim – english version
  • Contact-Celso Da Costa
  • Facebook
  • Interviews
  • Oral Health for Mommys
  • Periodontal Diseases
    • Conociendo más a fondo la Enfermedad Periodontal – Paloma Camacho Losada
  • Periodontal Treatment
  • What is a Dental Hygienist

Indique o seu endereço de email para subscrever este site e receber notificações de novos artigos por email.

Junte-se a 1.031 outros subscritores
Follow O Higienista Oral Blog on WordPress.com

Colaboradores

Blog Saúde com Dieta

Blogs Portugal

Blogs Brasil

Blogs España

Etiquetas

APHO Boca caramês clinic clinica Congresso Crianças Curiosity Curso dentaire Dental dentalartist Dental Hygiene Dental Hygienist dentaria Dentes Dentist Dentista Dentistas Dentistry Dentário Diseases Doença doenças Entrevista Escovagem fio Floss FMDUL Formação Gengiva Gums Halitose health Higiene Higiene Oral Higienista Higienista Oral Hygiene hygienist hygiéniste Implant implantologia incrivel instituto interview lisboa Mau Hálito Medicina Dentária Mouth Mundo a sorrir médica Oral Oral Health Ortodontia paro Perio Periodontal Periodontite Periodontitis porto Portugal problemas problems profissional rubrica Saliva Saúde Saúde Oral teamwork Teeth Tongue Toothbrush Universidade Xerostomia
Site no WordPress.com.
×
Privacy & Cookies: This site uses cookies. By continuing to use this website, you agree to their use.
To find out more, including how to control cookies, see here: Cookie Policy
  • Subscrever Subscrito
    • O Higienista Oral Blog
    • Already have a WordPress.com account? Log in now.
    • O Higienista Oral Blog
    • Subscrever Subscrito
    • Registar
    • Iniciar sessão
    • Denunciar este conteúdo
    • Ver Site no Leitor
    • Manage subscriptions
    • Minimizar esta barra
 

A carregar comentários...