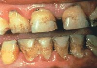
Além do tabaco aumentar o risco de Cancro do Pulmão, Doenças Coronárias, entre outras, o tabaco pode causar um forte impacto na cavidade oral.
- Diminui o paladar e o olfacto;
- Aumenta o risco de cancro oral – Segundo a National Cancer Institute ;

- Mancha os dentes;
- Diminui a capacidade de cicatrização após extracção dentária, cirurgia, feridas ou infecções;
- Mau Hálito;
- Favorece o aparecimento da placa bacteriana e do tártaro;
- Aumenta o risco de Doeças Periodontais – Segundo a American Academy of Periodontology;
- Diminui o sucesso dos implantes dentários;

- Aumentr o risco de perda de dentes e também da diminuição de osso alveolar;
- Pode causar Leucoplasia.