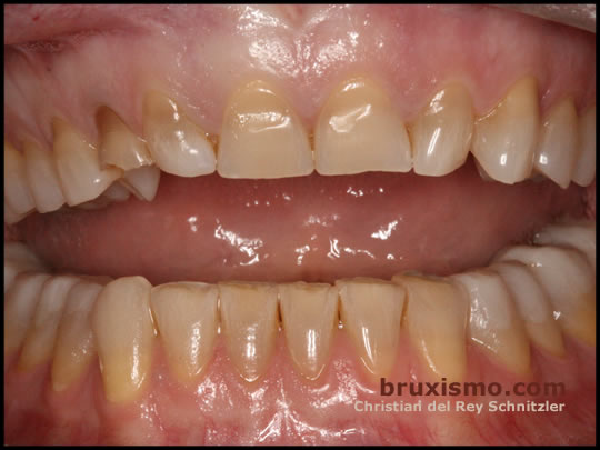
O Bruxismo é um hábito parafuncional que leva o paciente a ranger os dentes de forma rítmica mais frequentemente durante o sono mas também se pode manifestar durante o dia. É observada em pacientes de todas as idades.
Causas do Bruxismo
- Stress, tensão e ansiedade;
- Lesões no maxilar, cabeça ou pescoço;
- Disfunção do sistema nervoso central, como por exemplo, Doença de Huntington ou Parkinson;
- Medicamentos anti-depressivos;
- Má-Oclusão;
- Alcóol e cafeína podem também contribuir para o agravamento do Bruxismo.
- Dor de cabeça podem ser 3 vezes mais frequentes;
- Mialgia facial;
- Dor de Ouvido;
- Ombros tensos;
- Limitação da abertura da boca;
- Interrupção do Sono;
- Mobilidade dentária;
- Recessão e inflamação da gengiva.
- Desordem da Articulação Temporo-Mandibular (ATM);
- Desgasto dentário e fracturas.


