Por vezes encontramos as raízes dos dentes expostas devido a recessões gengivais, isto é, a gengiva que cobre esta porção do dente, encontra-se numa posição anormal.
As recessões gengivais são comuns e por vezes passam despercebidas em estádios iniciais. Existem muitas possíveis causas da recessão mas o avançar da idade é o mais comum – 88% das pessoas com mais de 65 anos têm recessões pelo menos num dente.
Má higiene oral ou doença periodontal estão ligados à recessão gengival. Mas também podem acontecer em pessoas em boa saúde oral.
Normalmente existem duas causas de recessão:
- Inflamação gengival – por exemplo, acumulação de placa bacteriana, tártaro e consequente inflamação da gengiva, (gengivite) ou devido a doenças imunitárias.
- Desgaste mecânico – por exemplo, escovagem vigorosa ou escova dura. Piercings, problemas ortodônticos ou danos causados por tratamentos dentários.
A maior preocupação das recesões é a exposição da raíz do dente, tendo maior risco de cárie, infecção ou possível perda do dente.
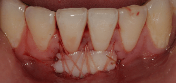
Se a recessão estiver num estádio muito avançado e o paciente tiver sintomas como sensibilidade dentária, dor ou infecção, existem vários tratamentos disponíveis, como, por exemplo, destartarização, antibióticos ou exertos gingivais.
Problemas causados pela recessão gengival:
- Estética;
- Possibilidade de perda de dentes;
- Sensibilidade dentária;
A maioria dos casos não precisa de tratamento. Apenas são fornecidos, nestes casos, conselhos de prevenção (escolha da escova de dentes e técnica de escovagem) e controlo periódico.
Para os que precisam de tratamento existem várias soluções:
- Tratamento ortodôntico;
- Desensibilização através de vernizes de flúor;
- Restaurações em compósito;
- Porcelana ou compósito rosa para cobrir a raíz do dente, (quando existem problemas estéticos);
- Cirurgia para colocação de enxerto de gengiva.

Como prevenir a recessão gengival?
- Evitar escovas de dureza média ou dura. Prefererir escovas suaves;
- Consultas regulares com o Higienista Oral;