Uma boa saúde oral é sinónimo de uma óptima saúde geral.
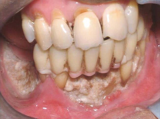
Não queira ter uma boca como as destas imagens, visite o seu Higienista Oral regularmente e a sua boca nunca mais será a mesma…
Por vezes até parece que fazemos milagres:
Autor: Celso Da Costa
Caros leitores, caso tenham alguma dúvida, sugestão ou crítica podem contactar-me a todo o momento para o e-mail: higienistacelso@gmail.com Higienista Oral formado pela FMDUL. - Dez 2010 - Nov 2011 Clínica Dentária Dentalis, Av 5 outubro, Lisboa, Portugal - Nov 2011- Nov 2015 Cabinet Dentaire Dr. Givel, Cossonay et St-Sulpice, Vaud, Suisse - Depois de Dez 2015 Clinique Dentaire Adent, Ecublens et Yverdon, Vaud, Suisse Agora o Blog também está no Facebook: http://www.facebook.com/OHigienistaOralBlog Ver todos os artigos de Celso Da Costa


