Aqui estão algumas situações em que o stress pode desempenhar um papel na condição de saúdeoral:
- Aftas: úlceras pequenos no interior da boca, que se acredita que surgem com o aparecimento de uma tensão;
- Bruxismo: O acto de ranger os dentes ou apertar os dentes inconscientemente, devido a um alto nível de stress ou preocupação;
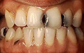
- Maus hábitos alimentares / Erosão Dentária: O stress pode causar indivíduos a mudar os seus hábitos alimentares, o que afecta de forma abrangente a saúde oral como como, por exemplo os “snacks” são normalmente mais consumidos (mais açúcar -> mais ácido / mais erosão) e as taxas de fluxo salivar são alteradas / diminuído .
- A má higiene oral: O stress pode levar as pessoas a re-organizar as prioridades e esquecer medidas preventivas que afectam o estado da sua higiene oral.
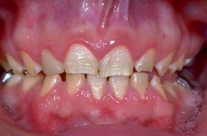
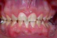
- Caries / Doença Periodonta: O stress é conhecido por correlacionar um aumento do nível de placa na cavidade oral, e auxílio no desenvolvimento de doenças orais comuns.


