Doença Inflamatória do intestino
– Doença de Crohn
– Colite Ulcerosa
A Doença de Crohn e a Colite Ulcerosa são Doenças Inflamatórias do Intestino (DII) distintas, mas apresentam diversas características comuns:
– São crónicas e idiopáticas
– Têm etiologia multifactorial, mas com influências genéticas e imunitárias
– Partilham características epidemiológicas, clínicas e terapêuticas
– A sua incidência tem vindo a aumentar, nomeadamente em Portugal, sendo mais elevada em zonas urbanas
– Afectam principalmente adultos jovens (pico antes dos 30 anos)
– Apresentam períodos de exacerbação e outros de remissão
– Em Portugal, incidência anual de 8-12 casos 100000 habitantes
– Pico de incidência entre os 15 e os 30 anos (mas com formas de apresentação nas crianças e nos idosos)
A doença de Crohn (enterite regional, ileíte granulomatosa, ileocolite) é uma inflamação crónica da parede intestinal.
A doença afecta tipicamente toda a espessura da parede intestinal. O mais habitual é que se manifeste na porção mais baixa do intestino delgado (íleo) e no intestino grosso, mas pode ocorrer em qualquer segmento do tracto gastrointestinal, da boca até ao ânus, inclusivamente na pele à volta deste
Nas últimas décadas, a incidência da doença de Crohn aumentou tanto nos países ocidentais como nos países em vias de desenvolvimento.
- Ocorre aproximadamente em igual proporção nos dois sexos;
- Mais comum entre os Judeus;
- Tendência para surgir em famílias com história de colite ulcerosa;
- Quase todos os casos surgem antes dos 30 anos, mas a maioria começa entre os 14 e os 24 anos.
Etiologia da Doença de Crohn
– História familiar (factores genéticos: identificado um gene implicado na Doença de Crohn);
– Disfunção do sistema imunitário;
– Dieta Alimentar.
Sintomatologia
– Diarreia crónica;
– Dor abdominal;
– Hemorragia gastrointestinal;
– Fadiga e mal-estar;
– Perda de peso;
– Febre e leucocitose;
– Anemia ferropriva;
– Anorexia e náuseas;
– Manifestações extra-intestinais, (O médico pode, na palpação, sentir uma tumefacção ou uma sensação de preenchimento na parte baixa do abdómen)
- Cutâneas
- Entéricas
- Ano-rectais
- Outras vísceras
A mucosa afectada está hiperemiada e com focos de ulceração.
Consequências da doença de Crohn
– Cálculos biliares;
– Inadequada absorção de nutrientes e depósitos amilóides (amiloidose);
– Inflamação das articulações (artrite);
– Episclerite.
– Estomatite aftosa;
– Eritema nodoso;
– Pioderma gangrenoso.
– Espondilite anquilosante
– Sacroileíte;
– Uveíte;
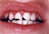
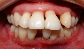
Efeitos na Cavidade Oral









