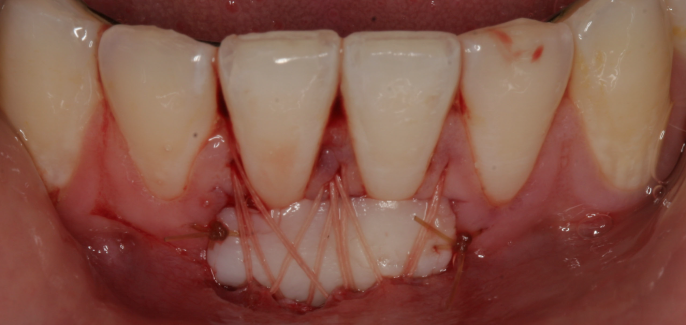
patient_2_a_free_gingival_graft

Deixe um comentário